Warning: Invalid argument supplied for foreach() in /home/users/2/ancial/web/abisu-vet.com/wp-content/themes/theme/single-column.php on line 19
後ろあしが痛いネコちゃん
2019.12.18
1歳7ヶ月のMixの猫ちゃんが来院されました。
右の後ろあしをつきたがらないという事でジャンプもしたがらないとの事でした。
実は、4ヶ月前に股関節の太腿骨頭という所が、骨折したような感じで手術を行なっていました。
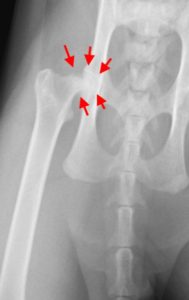
今回も、診察してみると、股関節の痛みがありレントゲンを撮るとやはり、股関節の太腿骨頭の
異常がありました。その後、CTをとり、『太腿骨頭すべり症』と診断し、手術を行いました。
術前:矢印が異常な部分です

術後:矢印が手術でとった部分です

術後、入院して無事に退院してくれました!
何か、気になることがあれば、お気軽にお問い合わせください。
■お問い合わせ
目黒区 l 碑文谷 l 動物病院 l アビス動物病院
東京都目黒区碑文谷2-10-21
03-6451-0801
関連コラム
-
1歳7ヶ月のMixの猫ちゃんが来院されました。 右の後ろあしをつきたがらないという事でジャンプもしたがらないとの事でした。 実は、4ヶ月前に股関節の...
2018.11.27
-
1歳7ヶ月のMixの猫ちゃんが来院されました。 右の後ろあしをつきたがらないという事でジャンプもしたがらないとの事でした。 実は、4ヶ月前に股関節の...
2013.12.06
-
1歳7ヶ月のMixの猫ちゃんが来院されました。 右の後ろあしをつきたがらないという事でジャンプもしたがらないとの事でした。 実は、4ヶ月前に股関節の...
2018.12.03
-
循環器(心臓病など)のお話
(心臓病など)近年、獣医療の発展により動物の寿命ものび、それに伴い心臓疾患も増加傾向にあります。
初期の心臓病では、症状がないことも多く、身体検査にて初めて心臓病の存在が疑われることがありますので、定期的な診察をお勧めしております。また、ワンちゃんやネコちゃん...つづきを読む
-
腫瘍科(がん)のお話
(がん)近年、ワンちゃん・ネコちゃんの腫瘍の病気が増えてきています。動物の世界でも平均寿命が延びてきていて、高齢化により腫瘍ができる可能性が増えていることが、一番の理由と考えられています。 また、獣医療の進歩や、飼い主様の健康管理や病気予防の意識の高まりに...
つづきを読む
飼い主さまの声














































