Warning: Invalid argument supplied for foreach() in /home/users/2/ancial/web/abisu-vet.com/wp-content/themes/theme/single-column.php on line 19
わんちゃんの交配時期について
2021.06.25
今回は、交配適期の診断です。(いつ、交配したら妊娠するかという事です)
ワンちゃんはおしりからの出血(発情)が、その子によって違いますが、年に2回くらい見られます。
1回の発情は、大体2週間前後続きますが、その間に交尾をすると妊娠します。
ただ、その2週間の間ならいつでも大丈夫という訳ではありません!
いつ、交配したらよいかというのは、
発情出血の開始日から推定したり、ホルモンの検査をしたり、膣の細胞をみたり(膣スメア検査)
で判断します。
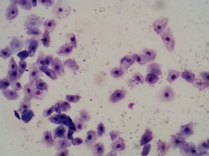
今回は、プードルさんの膣スメア検査を行いました。交配時期を決定するのに、よく行われる検査です。
↓は、まだ時期じゃない検査所見
![]()
↓が、今回の所見。(ちょうど良い時期)
![]()
わんちゃんの妊娠時期は2ヶ月位ですので、妊娠できてるといいですね!!
■お問い合わせ
目黒区 l 碑文谷 l 動物病院 l アビス動物病院
東京都目黒区碑文谷2-10-21
03-6451-0801
同じ病名の記事
-
Warning: Invalid argument supplied for foreach() in /home/users/2/ancial/web/abisu-vet.com/wp-content/themes/theme/single-column.php on line 148
シベリアンハスキーのワンちゃんが、妊娠診断に来てくれました!! ワンちゃんの妊娠期間は、58日から65日位と言われていますが、 妊娠30日位で超音波...
2021.03.08
-
Warning: Invalid argument supplied for foreach() in /home/users/2/ancial/web/abisu-vet.com/wp-content/themes/theme/single-column.php on line 148
かなり久しぶりの投稿になってしましました。 一ヶ月ほど前にトイプードルさんの帝王切開をしました。 生まれた時は122gでしたが、生後1か月には384...
2015.10.10
-
循環器(心臓病など)のお話
(心臓病など)近年、獣医療の発展により動物の寿命ものび、それに伴い心臓疾患も増加傾向にあります。
初期の心臓病では、症状がないことも多く、身体検査にて初めて心臓病の存在が疑われることがありますので、定期的な診察をお勧めしております。また、ワンちゃんやネコちゃん...つづきを読む
-
腫瘍科(がん)のお話
(がん)近年、ワンちゃん・ネコちゃんの腫瘍の病気が増えてきています。動物の世界でも平均寿命が延びてきていて、高齢化により腫瘍ができる可能性が増えていることが、一番の理由と考えられています。 また、獣医療の進歩や、飼い主様の健康管理や病気予防の意識の高まりに...
つづきを読む
飼い主さまの声











































